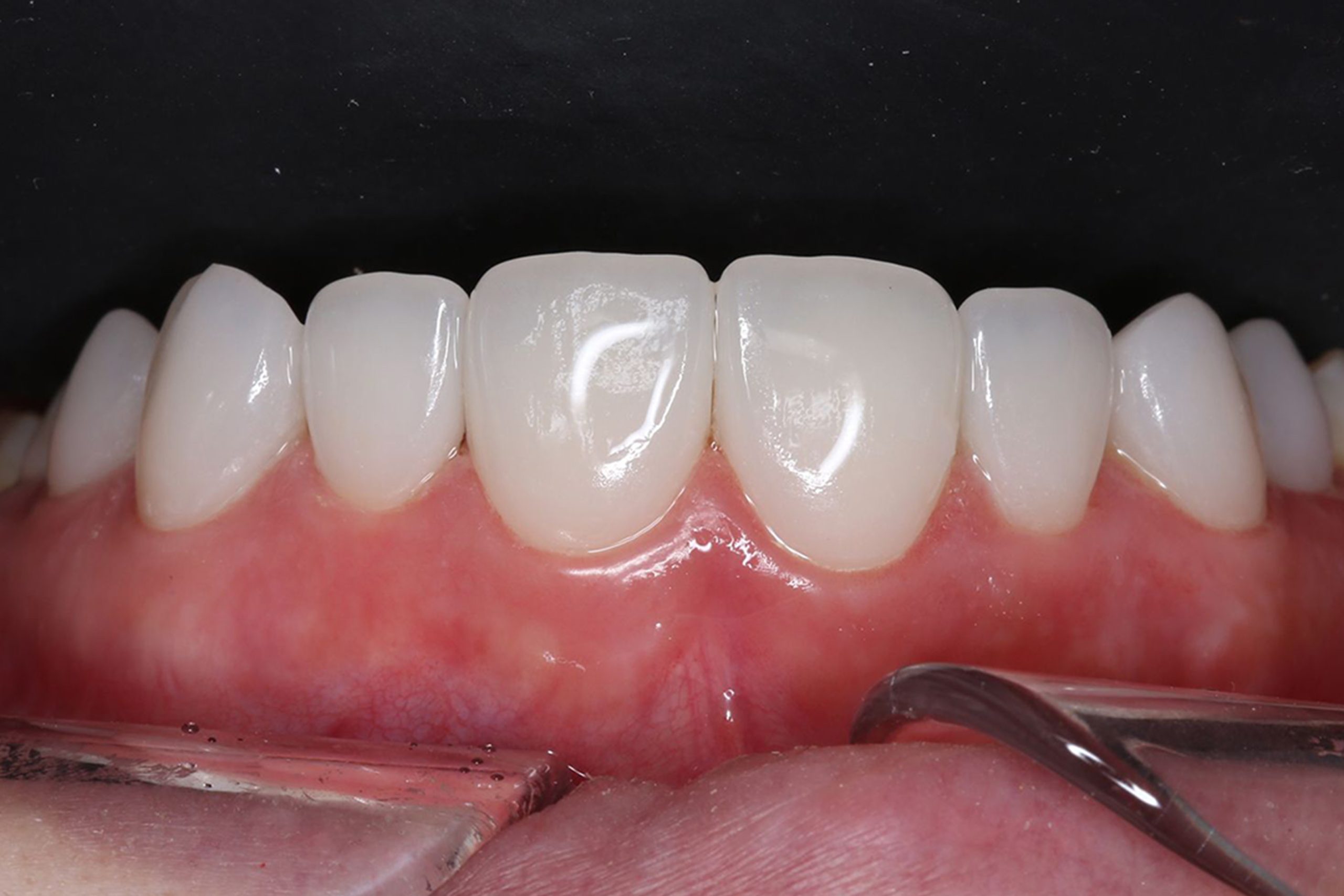
Description

GOOD